Los traumatismos dentales son más frecuentes en los perros de lo que solemos imaginar. Un mal salto, una caída jugando, un golpe con un objeto duro o incluso una pelea con otro animal puede causar daños importantes en sus dientes, especialmente en los caninos, que están más expuestos.
En muchos casos, la fractura no solo afecta la parte visible del diente, sino que puede dejar expuesto el canal pulpar, una zona muy sensible donde se encuentran nervios y vasos sanguíneos. Esta exposición, además de ser extremadamente dolorosa para el animal, puede convertirse en una vía directa para infecciones, poniendo en riesgo no solo el diente, sino la salud general del paciente.
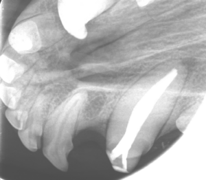
Hoy os contamos el caso de Multik, un perrito de casi 3 años que llegó a IVeM tras sufrir un traumatismo en su canino superior izquierdo. Gracias a un diagnóstico rápido y un tratamiento conservador, conseguimos salvar su diente y devolverle la sonrisa.


¿Qué tratamiento realizamos?
Gracias a la rápida actuación y la confianza depositada en nuestro equipo, optamos por un tratamiento conservador para salvar el colmillo de Multik.
Inicialmente, le realizamos una pulpectomía total (endodoncia) para eliminar todo el tejido pulpar, limpiando cuidadosamente el canal. Posteriormente, tomamos impresiones digitales del diente para diseñar una solución a medida. Y finalmente, fabricamos y colocamos una
corona de zirconio, un material altamente resistente, biocompatible y estético. Así, Multik no solo ha recuperado la funcionalidad del diente, sino que también mantiene su sonrisa impecable.
¿Qué debemos tener en cuenta ante una fractura dental?
Los traumatismos dentales en perros no siempre son fáciles de detectar. Aquí van algunos consejos importantes:
● Vigila signos como sangrado, mal aliento, dolor al comer o rechinar los dientes.
● Ante un golpe fuerte o caída, aunque no se vea nada raro a simple vista, es recomendable una revisión dental.
● El tratamiento precoz es clave: cuanto antes se actúe, más probabilidades hay de conservar el diente afectado.
Multik ya está completamente recuperado y puede seguir disfrutando de su vida activa, jugando y mordiendo con total normalidad. Casos como el suyo nos recuerdan la importancia de la odontología veterinaria para el bienestar de nuestras mascotas.
¿Tienes dudas sobre la salud dental de tu animal? ¡No dudes en consultarnos!